October 19, 2022

American College of Radiology Launches Contrast Enhanced Mammography Imaging Screening Trial

ACR, GE Healthcare and BCRF launch CMIST to determine whether CEM improves breast cancer detection for women with dense breasts

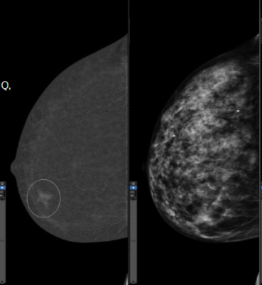
Contrast-enhanced diagnostic mammogram image
Left: Recombined image of the CEM exam showing iodine uptake.
Right: Standard digital mammogram
.

The American College of Radiology (ACR) is set to launch the Contrast-Enhanced Mammography Imaging Screening Trial (CMIST) in collaboration with the Breast Cancer Research Foundation (BCRF) and GE Healthcare. The trial will determine whether contrast-enhanced mammography improves breast cancer detection and reduce false-positive exams in women with dense breasts.

About 43 percent of women aged 40 to 72 have dense breasts, which can make detection of breast cancer more challenging when using mammography alone. The CMIST study seeks to determine if contrast-enhanced mammography (CEM) provides more accurate cancer detection compared to digital breast tomosynthesis (DBT) in women with dense breasts.

CEM combines mammography and vascular-based screening methods in a simple and quick procedure to highlight areas of unusual blood flow patterns that may indicate malignancy. Early studies of CEM in screening women with dense breasts have shown the potential benefit of CEM in the detection of breast cancer.

“In the fight against breast cancer, unfortunately it is all too common for women with dense breasts to face an agonizing wait for answers," says Catherine Lezy, General Manager for Mammography at GE Healthcare. “We know that CEM technology can be a game-changer in helping improve breast cancer outcomes. I’m excited that both GE Healthcare’s Senographe Pristina™ mammography system and SenoBright HD™ CEM technology, together with GE Healthcare Pharmaceutical Diagnostics contrast media will be used to further evaluate the clinical benefits of CEM. We hope that this will help clinicians feel more confident in their diagnosis and help patients get the answers they deserve."

The planned study will be managed by the American College of Radiology Center for Research and Innovation, with support from the Breast Cancer Research Foundation and GE Healthcare, under the supervision of Principal Investigator Christopher Comstock, MD, FACR, FSBI, Director of Breast Imaging Clinical Trials, Memorial Sloan Kettering Cancer Center, who said: “The CMIST Trial can help determine if contrast-enhanced mammography can provide a more sensitive and specific method for breast cancer screening in women with dense breasts, finding many cancers missed with our current methods.”

"Through CMIST, we hope to gain increased understanding of the potential role of contrast mammography for women with dense breasts with the goal of developing more individualized breast imaging strategies.” said Etta Pisano, MD, FACR, American College of Radiology Chief Research Officer.

“Given recent trends in the rising incidence of breast cancer, it is a key imperative to improve current diagnostic tools,” said Dorraya El-Ashry, PhD, Chief Scientific Officer of the Breast Cancer Research Foundation. “We know that early detection is a key determinant of survival and improving diagnostic technology for women with dense breasts will undoubtedly save lives.”

As the world observes Breast Cancer Awareness month throughout October, women are encouraged to ‘Don’t Skip’ their annual mammogram - where they can learn more about their own risk factors, including breast density, and consider the best care options with the help of their physician. Click here to learn more.